Implant dentar digital cu ghid chirurgical 3D

Tehnologia viitorului – fără incizii, fără durere, cu precizie perfectă
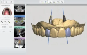
La Inside Clinic București, implantologia dentară a trecut la un nivel superior: folosim planificare digitală 3D și ghid chirurgical personalizat, pentru o inserare a implantului rapidă, sigură și minim invazivă.
Ce este ghidul chirurgical digital

Ghidul chirurgical este un sistem personalizat, imprimat 3D, care ghidează exact poziția implantului în os – cu precizie milimetrică. Este realizat după:
1️⃣ Scanare intraorală 3D – fără amprentă clasică, pentru confort total.
2️⃣ Tomografie CBCT – care arată structurile osoase și nervii.
3️⃣ Plan digital complet – în care medicul stabilește adâncimea, unghiul și poziția perfectă pentru fiecare implant.
Rezultatul: intervenția se face fără bisturiu, fără tăieturi și fără fire de sutură, reducând semnificativ inflamația și timpul de vindecare.

⚙️ Implanturi dentare Bone Zero Loss
Filosofia modernă: păstrăm osul – păstrăm zâmbetul
Sistemul Bone Zero Loss reprezintă cea mai nouă generație de implanturi dentare, create pentru a preveni pierderea osoasă în jurul implantului în timp.
Design anatomic inteligent – care distribuie perfect forțele de masticație, protejând osul și gingia.
Conexiune internă etanșă – care blochează bacteriile și inflamațiile periimplantare.
Integrare biologică rapidă (osseointegrare) – datorită suprafeței tratate special pentru stimularea formării osoase.
Cu această tehnologie, obținem implanturi stabile pe viață, cu un profil estetic perfect și fără resorbție osoasă în timp.

Avantajele implantului digital Inside Clinic
✔️ Fără incizii, fără durere, fără edem postoperator
✔️ Vindecare rapidă – pacientul își reia activitatea în aceeași zi
✔️ Poziționare perfectă a implantului
✔️ Gingia rămâne intactă și aspectul este complet natural
✔️ Precizie 3D garantată de software-ul digital și ghidul imprimat

Indicații
-
Lipsa unuia sau mai multor dinți
-
Restaurarea completă a arcadelor dentare
-
Înlocuirea lucrărilor mobile cu soluții fixe
-
Implanturi în zona frontală estetică, unde precizia contează

Inside Clinic – implantologia digitală de nouă generație.
Zâmbetul tău merită stabilitate, estetică și confort maxim.
Programează-te acum pentru o consultație implantologică 3D:
CE ESTE IMPLANTUL DENTAR?

Implantologia este o ramură a medicinei dentare ce rezolvă problemele de edentație (lipsa dinților) cu ajutorul implanturilor dentare.
Implantologia este ramura stomatologiei care se ocupa cu studiul implanturilor dentare.
Implantologia este o ramura stomatologica aparuta relativ recent, dar care, datorita cererii foarte mari de implanturi, a cunoscut o dezvoltare spectaculoasa in ultimii ani. In cadrul implantologiei apar mereu noi tehnici, noi materiale, noi metode chirurgicale sau protetice menite sa creasca calitatea si rata de succes a implanturilor dentare.Din aceste motive, tehnicile si solutiile folosite pot diferi foarte mult de la un practician la altul, de la o regiune sau tara la alta, fiecare medic implantolog folosind metodele cu care a obtinut cele mai bune rezultate.
Implantul dentar este un șurub din titan, care se va insera în os, în locul dinților lipsă. După 4-6 luni se descoperă implantul se inseră bontul protetic și se realizează lucrarea dentară.
Implantul dentar este o piesă din titan, zirconiu sau alte materiale biocompatibile, având cel mai frecvent formă de șurub, care se inserează la nivelul osului maxilar sau mandibular pentru a înlocui unul sau mai mulți dinți lipsă.
Principalul avantaj al utilizării implantului dentare este că dinții vecini spațiului edentat vor rămâne intacți, iar din punct de vedere al menținerii igienei bucale este mult mai ușor de întreținut un implant dentar comparativ cu o punte dentară.

Desigur nu orice pacient se pretează inserării unui implant dentar! De aceea prima etapă pe care trebuie să o parcurgă candidatul la implant este să se programeze la o consultație la medicul implantolog, care pe baza unor analize de laborator și a unor radiografii (CT sau OPG) va stabili dacă se poate face intervenția chirurgicală sau nu.
Medicul implantolog sau chirurgul BMF din cadrul Inside Clinic se va ocupa de etapa chirurgicală, urmând ca apoi, peste 4-6 luni (timp în care va avea loc integrarea implantului) proteticianul să se ocupe de etapa protetică a tratamentului, respectiv de realizarea coroanei dentare.
Chiar dacă totul a decurs bine până aici, pacientului îi revine o mare responsabilitate: menținerea unei igiene bucale desăvârșite! Aceasta este esențială pentru un implant de durată.
Implantul dentar are cateva contraindicatii, limitate ca numar, si anume:
- persoane cu diabet necontrolat sau alte probleme metabolice
- afectiuni cardiace decompensate
- procese inflamatorii si tumori
- orice boala care contraindica interventii chirurgicale, cum ar fi probleme grave de coagulare sangvina
- pe durata tratamentelor cu radioterapie sau chimioterapie

Avantaje
Implanturile dentare oferă un suport pentru dinții artificiali, eliminând orice neplăceri provocate de aceștia. În plus, implanturile îmbunătățesc masticația și vorbirea.
Acestea vă oferă o forță de masticație mai mare, conservarea dinților naturali rămași, confort sporit și estetică superioară.
Implanturile pot elimina protezele dentare totale sau parțiale, asigură rezistența dinților, reduc pierderea osoasă, elimină adezivii și favorizează sănătatea gingiei și a dinților adiacenți.
STRUCTURA IMPLANTULUI DENTAR
Implantul dentar este un dispozitiv metalic introdus chirurgical in osul maxilar pentru a sustine o lucrare protetica (coroana dentara, punte dentara sau proteza mobilizabila).
Dupa introducerea implantului in osul maxilar este nevoie de o perioada de timp pentru ca acesta sa formeze o legatura cu osul maxilar printr-un proces numit osteointegrare.
La sfarsitul perioadei de vindecare (care dureaza intre 4 si 6 luni), un dispozitiv protetic (numit bont artificial) este atasat implantului. Peste bontul artificial se va construi restaurarea protetica proiectata.

ETAPE IMPLANT DENTAR
Consultația inițială și alegerea implantului dentar
Procedura de inserare a implantului dentar este o procedură minim invazivă ce se realizează sub anestezie locală și în urma căreia pacientul iși poate relua activitățile de zi cu zi.
În vederea pregătirii intervenției de inserare a implantului dentar, pacientul va fi consultat de medicul chirurg/implantolog.
Acesta va analiza spațiul în care va fi aplicat implantul dentar și îi va recomanda pacientului efectuarea unui Computer Tomograf, precum și a unor analize uzuale de sânge.
După evaluarea tuturor acestor date, se va alege poziția exactă a implantului, dimensiunea acestuia precum și tipul de intervenție chirurgicală ce va fi realizată.

Procedura de inserare a implantului dentar se poate desfășura în una sau două etape, în funcție de calitatea osului prezent în zona respectivă.
Procedura chirurgicală de inserare a implantului dentar în două etape:
- În cazul în care inserarea implantului dentar se desfășoară în două etape, pașii sunt următorii:
- Cu ajutorul unui set de freze calibrate pe dimensiunea implantului se va crea un spațiu în os.
- Implantul va fi inserat în acest spațiu prin înșurubarea lui, iar gingia va fi cusută la loc. În acest moment implantul se va afla în totalitate în os.
- Timp de o lună până la 6 luni implantul se va osteointegra, adică se va forma os în jurul implantului.
- Următoarea etapă este aceea de descoperire a implantului dentar, etapă în care medicul chirug va monta la nivelul implantului un dispozitiv ce va conforma gingia, astfel încât să capete un aspect natural.
- Ultima etapă este aceea de protezare a implantului dentar.
- Poziția implantului dentar va fi transmisă în laboratorul de tehnică dentară cu ajutorul unor mulaje.
- Tehnicianul dentar va realiza coroana ce va fi fixată la nivelul implantului dentar.

Controlul periodic:
După finalizarea tratamentului prin implanturi dentare, pacientul va fi chemat la consultații periodice la un interval de maximum 6 luni pentru a evalua starea de sănătate a gingiei și a osului din jurul implantului, precum și pentru a evalua modul în care implantul intră în contact cu ceilalți dinți prezenți.
IMPLANTUL DENTAR SI FUMATUL!
Cu toţii ştim că fumatul nu este un obicei deloc bun pentru sănătatea noastră. Aici este inclusă, desigur, şi sănătatea cavităţii orale. Fumatul face din abilitatea naturală a organismului de a se vindeca, un proces mult mai greoi şi mai complicat. Când vine vorba de cavitatea orală, fumul de ţigară usucă gingiile şi minimalizează nivelul oxigenului din sânge. Ca urmare a acestui fapt rezultă întârzierea sau mai bine spus prelungirea sau îngreunarea procesului de vindecare a gingiilor şi a osului alveolar în cazul aplicării unui implant dentar. În acelaşi timp fumatul contribuie la creşterea potenţialului de formare a plăcii bacteriene şi a nocivităţii microorganismelor care o compun. Stomatologii recomandă încetarea consumului de produse pe bază de nicotină cu cel puţin 2 săptămâni înainte de intervenţia chirurgicală precum şi în timpul perioadei de recuperare (2-6-8 luni sau cât este necesar).
Aplicarea unui implant dentar poate reprezenta un motiv întemeiat in a deveni nefumător şi în orientarea după un stil de viaţă sănătos.
Trebuie conştientizat faptul că implanturile nu pot fi garantate întrucât procesul de vindecare –reprezentând etapa cea mai importantă – depinde în primul rând de pacient iar acesta poate înţelege mai greu importanţa acestor aspecte.
CE TIPURI DE IMPLANT FOLOSIM LA INSIDE CLINIC?
In Clinicile Inside se folosesc cele mai bune sisteme de implanturi dentare Mis, Megagen, Bredent si Nobel.
IMPLANT DENTAR BREDENT

SKY classic – Implant dentar cu suprafața Osseo Connect (OCS)
Mulți dintre utilizatorii SKY au observat avantajele pe care le conferă suprafața rafinată de mașină în porțiunea de colet a implantului. Ca răspuns la feedback-ul acestora, specialiștii de la bredent medical au decis să continue producția acestui tip de implant, însă, „cine nu merge în pas cu timpul, este depășit de timpuri”, spune o celebră butadă. Tocmai de aceea, pe un design de acum clasic, a fost grefată suprafața nouă Osseo Connect (OCS), combinând astfel doi factori de succes: pe de o parte un design implantar campion al stabilității primare, iar pe de altă parte o suprafață cu o extraordinară receptivitate pentru elementele biologice.
Rețeta de succes de la bredent medical continuă cu conexiunea deja consacrată, cu Torx®-ul ca element antirotațional, lungimea cea mai mare, conceptul mono platformă fiind de asemenea o prerogativă a acestei noi linii de implant.
Spre deosebire de blueSKY, noul SKY classic are în regiunea de colet, pe primii 2 mm. o porțiune rafinată de mașină; aceasta răspunde pozitiv în cele mai grele 2 situații: pe de o parte, șanțurile microscopice pot conferi suport și attachment pentru țesuturile moi, ceea ce indică această linie implantară pentru plasarea supracrestală, iar pe de altă parte, în situația unei creste alveolare neregulate, sau dacă vă puteți aștepta la resorbția osului, porțiunea expusă este foarte ușor de igienizat de către pacient. Toate aceste caracteristici îl transformă în implantul electiv în special pentru zona laterală mandibulară.
Gama de dimensiuni coincide cu blueSKY, excepție făcând nou-înființatul diametru de 5,5 mm. de la blueSKY, iar indicația majoră pentru noul SKY classic este pentru situațiile cu creastă neregulată sau grosime insuficientă, acolo unde este de așteptat ca remodelarea osului alveolar să se continue şi după implantare, cel mai frecvent aflându-se în situația aceasta zona laterală mandibulară, mai ales în cazul edentaţiilor terminale.
Există specialiști care au previzionat folosirea noului SKY classic inserându-l supracrestal, lăsând deasupra corticalei porțiunea de 2mm. rafinată de mașină, și optând pentru o vindecare transgingivală.
IMPLANT DENTAR NOBEL

Conceptul restaurativ On1
Inserează cu încredere, restaurează cu uşurinţă!
Cea mai nouă inovaţie Nobel Biocare, conceptul On1 a fost lansat anul acesta în cadrul congresului EAO.
Ce este conceptul On1?
Baza unică On1 mută platforma de restaurare a implanturilor cu conexiune conică Nobel Biocare de la nivelul osului, la nivelul ţesutului moale. Rămâne pe poziţie de la plasarea implantului, până la finalizare, fapt ce lasă ţesutul moale netulburat, pentru vindecare optimizată.
Principalele beneficii includ:
- Prezervarea inserţiei ţesutului moale – Baza ON1 stă în poziţie pe parcursul întregului flux de lucru de restaurare şi pe toată durata de viaţă a restaurării.
- Flexibilitate chirurgicală – se poate folosi conceptul ON1 cu trei tipuri de sisteme de implant cu conexiune conică: NobelActive, NobelParallel şi NobelReplace.
- Utilizare restaurativă uşoară – conexiunea este plasată la nivelul ţesutului şi bonturile temporare sunt livrate cu un mâner montat în prealabil.
- Fluxul de lucru IOS – folosind sistemul special ON1 IOS (scanare intraorală) capa de vindecare accelerează procesul de amprentare.
Foto: Baza ON1 se conectează la implant în momentul intervenţiei chirurgicale. Rămâne pe loc pe tot parcursul procesului de vindecare, în timpul lucrării protetice şi, în cele din urmă, pe durata de viaţă a restaurării.
Baza On1
Cu două opţiuni de înălţime disponibile, există flexibilitatea de a schimbă baza On1 în funcţie de grosimea ţesutului moale. Spre deosebire de implanturile tradiţionale la nivel de ţesut, acest lucru face posibilă optimizarea rezultatului estetic atât pe termen scurt, cât şi pe termen lung.
Conexiunea On1
Conexiunea On1 este proiectată pentru a face ataşarea componentelor restaurative cât mai simplă. Cei şase lobi hexagonali furnizează flexibilitate pentru a plasa componentele de restaurare în poziţia dorită.
Capele de vindecare On1
În funcţie de fluxul de lucru dorit, conceptul On1 oferă un capac de vindecare convenţional sau un capac de vindecare IOS, care dublează că un bont de scanare intraoral.
Soluţiile temporare On1
Cu bonturile temporare ON1 puteţi oferi pacientului o restaurare provizorie înşurubabilă în ziua intervenţiei chirurgicale.
Soluţia finală On1
În funcţie de indicaţie sau de preferinţe, puteţi alege o restaurare finală cimentată sau înşurubabilă.
IMPLANT DENTAR MEGAGEN

Implantul dentar AnyRidge MEGAGEN
Este un sistem care se fixează în osul maxilarului și reprezintă rădăcina artificială pe care se construiește un dinte artificial.
Implantul dentar reprezintă soluția optimă pentru tratamentul implanto-protetic clasic efectuat în două etape, sau modern cu încărcare imediată – conceptul One Day Implant.
Oferă soluții pentru înlocuirea oricărui dinte absent atât la maxilar cât și la mandibulă, fiind suficient de rezistent pentru zona molarilor dar în același timp oferind rezultate estetice foarte bune în zona frontală.
Prezintă un design ce respectă cele mai înalte standarde de calitate existente la ora actuală în implantologie; este confecționat dintr-un aliaj de titan de gradul 4, cu o puritate superioară; prezintă o spiră ce menajează substratul osos- intervenția chirurgicală fiind, astfel, minim invazivă.
Spire revoluționare Knife Thread
AnyRidge este primul sistem de implanturi confecționate din aliaj de titan cu puritate înaltă care introduce conceptul inovator al spirelor progresive Knife Thread. Cu ajutorul acestor spire, implantul AnyRidge devine soluția optimă de tratament indiferent de calitatea osului în care este introdus implantul. Spirele Knife Thread asigură atât protecția osului cortical, cât și posibilitatea aplicării unei coroane dentare în aceeași ședință, scurtând timpul de tratament.
Secvență de frezaj
Implanturile AnyRidge oferă soluții pentru înlocuirea oricărui dinte absent indiferent de calitatea osului existent. Acest tip de implant dentar permite optimizarea rezistenței în timp și a esteticii rezultatului obținut. Datorită caracteristicilor sale, inserarea implantului AnyRidge este unică, individualizată și necesită un număr redus de intervenții chirurgicale.

De ce să alegi Inside Clinic Militari?
Echipă de medici specialiști cu experiență în estetică dentară
Tehnologii moderne și sigure (Biolase, lămpi LED de ultimă generație)
Mediu confortabil, steril și relaxant
Rezultate estetice naturale, fără sensibilitate
Inside Clinic Militari – Str. Dreptății nr. 8, Parter, București
Programează-te: 0744 347 206
Implant dentar și conceptul Zero Bone Loss la Inside Clinic
La Inside Clinic, tratamentele de implantologie dentară se bazează pe cele mai noi concepte și tehnologii, pentru a oferi pacienților rezultate stabile și estetice pe termen lung.
Unul dintre pilonii principali ai filosofiei noastre este conceptul Zero Bone Loss – o abordare modernă care are ca obiectiv păstrarea volumului osos în jurul implanturilor, indiferent de câți ani au trecut de la inserare.
De ce este atât de important?
Pentru că osul maxilar și mandibular are tendința naturală de a se resorbi după pierderea unui dinte. Fără o planificare corectă, acest proces continuă chiar și după inserarea implantului, ceea ce poate duce în timp la mobilitate, retracții gingivale sau estetică deficitară.
La Inside Clinic, prevenim aceste probleme printr-o serie de proceduri inovative:
✅ Planificare digitală și ghid chirurgical personalizat – implanturile sunt inserate cu maximă precizie, minim invaziv, respectând volumul osos și anatomia pacientului.



✅ Augmentare osoasă avansată – atunci când osul existent nu este suficient, folosim tehnici moderne:
-
GBR (guided bone regeneration) – regenerare osoasă ghidată cu membrane resorbabile sau non-resorbabile.
-
Grefe de os autolog sau blocuri osoase – recoltate din zona mandibulei sau ramusului, pentru defecte mari.
-
Tehnica Khoury – utilizarea de plăci osoase subțiri care stabilizează și stimulează regenerarea osoasă.
-
Grefe conjunctive sau din palat – pentru a reda grosimea și aspectul natural al gingiei din jurul implanturilor.
✅ Protetică imediată și estetică personalizată – în cazuri selectate, pacienții pot beneficia de dinți provizorii fixați pe implanturi chiar din ziua intervenției, pentru confort și estetică optimă.
✅ Laser și biostimulare – pentru vindecare mai rapidă, reducerea inflamației și o experiență post-operatorie mult mai ușoară.
Prin toate aceste tehnici, echipa noastră reușește să ofere pacienților nu doar implanturi stabile, ci și un zâmbet natural, sănătos și armonios, gândit să dureze o viață.
La Inside Clinic, fiecare caz este unic. De aceea, soluțiile noastre sunt complet personalizate, iar tratamentele sunt realizate în condiții de siguranță maximă, cu aparatură de ultimă generație și materiale premium.

Sunt Dr. Ch. Cornel si te astept la un consult pentru implant dentar la Inside Clinic la 0744347206


